特色技术丨不开刀!内痔硬化治疗:轻松解决,当天回家
2025-11-27 09:13
本文出处:洛阳白马医院
李先生最近遇到了件烦心事——大便时常常发现带有鲜血,卫生纸上的血迹更是触目惊心。起初,他以为是上火或作息不规律导致,并未太过在意。然而,随着时间推移,便血情况非但没有好转,反而愈加频繁,身体也隐隐有了乏力之感。在家人的催促下,李先生决定前往洛阳白马医院消化内科就诊。
吕后宁主任在详细询问病情后,敏锐地察觉到李先生症状的严重性,便建议他尽快进行无痛肠镜检查,以明确病因。经无痛肠镜检查,发现为内痔出血。



内痔往往因久坐、便秘、饮食辛辣等因素诱发,主要症状便是便血与痔核脱出。考虑到李先生内痔已有一定严重程度,且伴有明显出血,吕后宁主任建议他接受内镜下内痔套扎硬化术治疗。
内镜下内痔套扎硬化术是一种微创治疗手段,与传统手术相比,优势显著:
精准定位、创伤小
一
在内镜的高清视野下,医生能够清晰看到内痔的位置、大小和形态,精准地将硬化剂注射到痔核内或套扎痔核基底部,对周围正常组织几乎无损伤,出血风险极低。
恢复快速、正常工作
二
由于创伤小,术后患者恢复迅速。李先生在接受治疗后,仅观察了一小段时间,便自行离院回家,不影响正常工作与生活。
效果显著
三
硬化剂能使痔核内的血管闭塞、组织纤维化,从而达到止血和使痔核萎缩的目的。套扎则可阻断痔核血供,促使其坏死脱落。两者结合,治疗效果确切,且能有效降低内痔复发概率。
什么是内痔硬化治疗?

01
简单说,痔疮硬化治疗就是通过细针将“硬化剂”注射到内痔的黏膜下或痔核内。硬化剂会让痔核周围的组织产生炎症反应,逐渐形成纤维条索,把扩张的血管“扎紧”,同时让痔核萎缩、变小,最终解决便血、脱出等问题。
整个过程不用开刀,创伤特别小,有点像平时打“肌肉针”,多数人不会有明显痛苦。
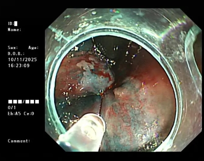
图片
△内镜下硬化治疗
图片
哪些人适合做痔疮硬化剂治疗?
图片
图片
1.保守治疗无效的Ⅰ~Ⅱ度内痔或以出血为主要症状的Ⅲ度内痔;
2.混合痔的内痔部分;
3.混合痔外痔切除后内痔部分的补充治疗;
4.合并高血压病、糖尿病、重度贫血等不能耐受手术治疗的内痔患者;
5.更适合老年、手术不耐受、凝血功能障碍患者、门诊日间治疗;
6.做完痔疮手术后,局部有小的残余痔核,也能补做硬化治疗。
注意:外痔(肛门外能摸到的小肉球)或严重内痔(脱出后缩不回去,甚至卡顿疼痛),通常不适合这种方法,需要其他治疗方案。
禁忌症:合并有IBD、感染、溃疡的内痔或有妊娠、产褥期、精神异常等情况。
硬化治疗有哪些优势?
Part.1
对比传统手术,它对普通人更友好:
微创无痛:不用开刀、不缝针,术后几乎不影响走路、坐立。
恢复快:多数人术后1-2天就能正常上班(避免久坐、久站即可),不用像手术那样休息1-2周。
安全性高:并发症少,很少出现肛门狭窄、失禁等问题。
费用较低:比手术便宜。
术后要注意什么?
治疗后能不能恢复好,关键在护理:
饮食
3天内吃清淡、软的食物(比如粥、面条、蒸蛋),之后多吃蔬菜、水果、粗粮(比如芹菜、苹果、燕麦),多喝水(每天1500-2000毫升),避免辣椒、酒精、油炸食品。
排便
别用力排便,别久蹲(每次厕所不超过5分钟)。如果便秘,及时找医生开通便药,避免硬便摩擦痔核导致出血。
活动
1周内别做剧烈运动(比如跑步、跳绳、提重物),日常散步没问题。
用药
遵医嘱用痔疮栓或药膏,减轻局部炎症,促进恢复。
复查
如果治疗后还有便血、坠胀,或者出现发热、肛门剧痛,一定要及时回医院复查。
如果您也正被内痔带来的便血、疼痛等问题困扰,不妨考虑内镜下内痔套扎硬化术。它以微创、高效、恢复快等优势,为内痔患者带来了福音,助您轻松摆脱“痔”扰,重拾健康生活!

