超越时光的“初见”:当5D智能彩超,为爱与期待注入安心的力量!
2026-01-14 15:07
本文出处:洛阳白马医院
对于每一位准妈妈而言,怀孕是一段充满奇妙与期待的旅程。从感受到第一次胎动开始,腹中那个小生命的每一次心跳、每一次舒展,都牵动着全家的心。在这份喜悦背后,也伴随着一丝天然的关切:宝宝健康吗?发育得好不好?

随着现代医学影像技术的发展,产前超声检查成为了我们了解宝宝、守护其健康成长的“透视眼”。从最初平面的黑白影像,到立体的3D、4D彩超,我们与宝宝的“见面”方式越来越清晰。今天,我们想和各位准妈妈聊一聊一项更进一步的技术——5D智能彩超,它不仅是4D的延伸,更是一次智能化的飞跃,为孕期排畸检查带来了全新的视角。

一、从4D到5D:不仅仅是“多了一个D”
很多准妈妈可能对四维(4D)彩超已经非常熟悉,它能够实时动态地展示宝宝在宫内的活动,让我们看到宝宝打哈欠、伸懒腰的可爱模样,为无数家庭留下了珍贵的第一份“动态影集”。
那么,5D彩超又是什么呢?“5D”中的“第五维度”,并非指传统意义上的空间维度,而是代表着“智能(Intelligence)”与“数据(Data)”的深度融合。它是在4D实时动态成像的基础上,引入了先进的AI人工智能辅助分析技术。如果说4D彩超是为我们拍摄了一部关于宝宝的“现场直播电影”,那么5D智能彩超则像一位经验丰富的“智能剪辑师”,能够自动捕捉关键信息,并进行精细化、多维度的分析与呈现。

洛阳白马医院引进的三星5D智能四维彩超系统正是这一技术理念的体现。它致力于将复杂的解剖结构以更直观、更清晰的方式呈现给医生,从而为精准诊断提供有力支持。
二、5D智能彩超在排畸检查中的独特优势
孕中期(通常在22-28周)的大排畸检查是整个孕期至关重要的环节之一。其目的在于系统地筛查胎儿是否存在结构性异常,如唇裂、脊柱裂、大脑、心脏、骨骼发育不良等问题。在这一关键检查中,5D智能彩超凭借其技术特性,展现出了显著的优势。



1. 更精细的成像质量,如“水晶”般剔透
5D智能彩超拥有更高的分辨率和更强的图像处理能力,能够呈现出接近“IMAX电影画质”的细腻影像 。它采用一种被称为“水晶成像”的技术,能够穿透组织,将胎儿的骨骼、器官和组织结构以极其清晰、立体的形态展示出来。这种高清晰度对于观察胎儿微小的解剖结构细节至关重要,例如手指、脚趾、耳廓形态等,有助于医生发现一些在传统超声下不易察觉的细微异常,为排畸诊断提供了更丰富的视觉信息。



2. 全方位、多角度的“360度”观察
传统超声检查有时会因为胎儿体位、羊水量等因素的限制,导致某些部位观察不清。5D智能彩超技术能够实现对目标结构进行360°全方位、多切面的自由旋转观察。医生可以像“雕塑家”一样,从任意角度审视胎儿的解剖结构,尤其对于形态复杂的心脏、颅脑和脊柱等部位,这种能力可以极大弥补单一平面的局限性,帮助医生更全面地评估其发育状况。



3. AI智能辅助,提升诊断效率与客观性
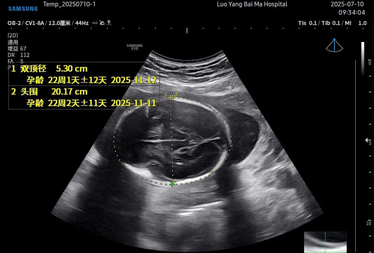
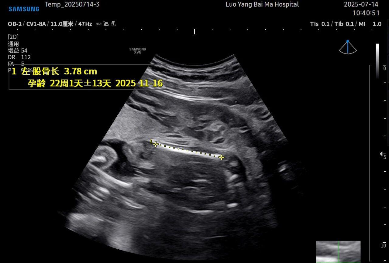
这是5D技术的核心优势之一。系统内置了强大的智能化大数据分析功能和AI辅助诊断工具。例如,在进行胎儿颈项透明层(NT)测量、胎儿长骨(LB)测量等关键生物学指标评估时,5D智能系统可以自动识别解剖层面、智能勾勒测量范围并进行计算。这不仅大大缩短了检查时间,更重要的是,它通过标准化的智能算法减少了因人为操作可能产生的误差,使诊断结果更加客观、可靠。



4. 温情互动,一次充满感动的“亲子会面”
除了严谨的医学诊断价值,5D彩超也为准爸妈们带来了无与伦比的情感体验。通过高清逼真的动态影像,您可以清晰地看到宝宝的每一个细微表情和动作,仿佛他(她)就在眼前。这份提前到来的“亲密接触”,不仅能极大地缓解孕期的焦虑,更能加深家庭成员与未出世宝宝之间的情感连接,让等待的每一天都充满更具体的幸福感。


重要提示:
• 5D彩超检查通常建议在孕20-26周,尤其推荐在孕22-24周进行。此时胎儿大小适中,羊水量充足,图像清晰度较高。
• 5D超声检查并非万能,其主要目的是进行胎儿结构筛查,受胎儿体位、羊水量、孕妇腹壁厚度等多种因素影响。
• 本检查为筛查性质,不能替代系统性的产前诊断。
三、关于5D智能彩超,您可能关心的问题
1、这项检查安全吗?
请放心。5D彩超与2D、3D、4D彩超一样,其本质都是超声波成像,利用的是声波的回声原理,不存在任何电离辐射或X射线,对母体和胎儿都是安全的 。
2、5D彩超能发现所有畸形吗?
需要科学地认识到,任何产前筛查手段都有其局限性,超声检查也不例外。它主要用于发现结构性异常,但对于染色体异常、代谢性疾病或部分微小功能性问题等非结构性异常,则无法通过超声诊断。5D智能彩超的意义在于,它通过更先进的技术,尽最大可能提供更清晰、更全面的结构信息,为医生做出准确判断提供强有力的依据。

结语:
从黑白的光点到立体的轮廓,再到如今智能化的“水晶影像”,产前超声技术的每一次进步,都承载着医学界为守护新生命健康而不懈的努力。它不仅仅是一项检查,更是科技赋予孕育之旅的一份温情与安心。
在洛阳白马医院,我们深知您对宝宝健康的无限期盼。我们经验丰富的超声科团队,借助三星5D智能彩超等先进设备,致力于以严谨专业的态度和充满人文关怀的服务,陪伴您走过这段生命中最特别的时光。如果您希望了解更多关于孕期检查的信息,或想为您的宝宝安排一次特别的“初见”,可以通过我们的微信公众号进行预约咨询。
愿每一次检查,都能为您带来一份安心;愿每一次心跳,都谱写着生命最美的乐章。

